DenFil A2 (Vericom), шприц 4 г — профессиональный обзор материала для прямых реставраций
/* IMG_PLACEHOLDER: denfil-a2-hero (общий вид шприца/упаковки) */?>DenFil A2 — универсальный светоотверждаемый наногибридный композиционный материал в шприце 4 г от Vericom, разработанный для эстетических прямых реставраций фронтальной и жевательной групп зубов. Оттенок A2 закрывает большинство повседневных клинических задач: от восстановлений классов I–II до коррекции режущего края (IV класс), аппроксимационных дефектов (III класс), пришеечных реставраций (V класс) и ремонта существующих пломб. Материал критично удобен по тиксотропии: держит форму там, где это нужно, и «поддаётся» инструменту при моделировании, сохраняя чёткие границы и плавные переходы без залипания.
Ключевые свойства и клинические преимущества
- Универсальность клинических сценариев. Применим в полостях классов I–V, для закрытия диастем, коррекции контуров, наращивания культей под непрямые конструкции при соблюдении адгезивного протокола.
- Сбалансированная оптическая архитектура. Прозрачность/опаковость оттенка A2 обеспечивает «слияние» с эмалью соседних зубов и маскировку подложек при послойной технике.
- Контролируемая пластичность. Консистенция без излишней липкости упрощает формирование бугров, краевых гребней и контактных пунктов, снижая риск пустот и «ступенек» на границе.
- Низкие полимеризационные напряжения при послойном внесении. Технология рассчитана на клиническую толщину слоёв до 2 мм, что уменьшает стресс на адгезивный интерфейс.
- Рентгеноконтрастность. Удобна для последующего контроля краевой адаптации, вторичного кариеса и состояния подложек.
- Стабильность блеска и гладкости. При корректной финишной обработке сохраняет глянец и микрогладкость в долгосрочной перспективе.
Показания к применению
DenFil A2 рекомендован для:
- реставраций жевательных поверхностей (I–II класс) с полноценным моделированием анатомии бугров и фиссур;
- фронтальных реставраций (III–IV класс) с эмалево-дентинной стратификацией;
- пришеечных реставраций (V класс), клиновидных и некариозных поражений;
- закрытия диастем/трем, коррекции длины и формы режущего края;
- ремонта композитных реставраций и устранения краевых дефектов;
- наращивания культей под непрямые реставрации при использовании адгезивных систем.
Совместимость и адгезивный протокол
Материал совместим с современными адгезивами тотального протравливания, селективного протравливания и универсального типа. Оптимальным для эмали остаётся селективный протокол: протравливание эмали (15–30 с), контроль влажности дентина («влажный — не мокрый»), равномерное нанесение адгезива, тщательная воздушная сублимация растворителя и полимеризация. В глубоких полостях имеет смысл применить флоу-лайнер/стеклоиономерную подложку для выравнивания дна и демпфирования напряжений.
Важно: изоляция коффердамом и чистота световода полимеризационной лампы — критичные факторы долговечности реставрации. Избыток адгезива с остаточным растворителем ухудшает прочность интерфейса — используйте полноценную воздушную сушку до появления характерного «глянца».
Техника внесения и послойная стратификация
- Подготовка полости. Минимально инвазивная препаровка со сглаженными переходами; удаление слабоминерализованных участков, формирование ретенционных площадок при необходимости.
- Изоляция. Коффердам, анатомические матрицы и клинья/сепараторы для контроля проксимальных стенок и контактных пунктов.
- Адгезия. Селективное протравливание эмали, нанесение адгезива на эмаль/дентин с тщательной воздушной сушкой и полимеризацией согласно инструкции к адгезиву.
- Послойное внесение. Толщина слоя — до 2 мм. Моделируйте морфологию поэтапно: сначала стенки и контакт, затем бугры и фиссуры. Избегайте «монолитных» объёмов.
- Полимеризация. Каждому слою — своя экспозиция при валидированной мощности и минимальном расстоянии. В глубокой полости используйте многовекторное засвечивание.
- Финиш и полировка. Формирующие финиры, далее абразивные диски, полировочные резинки и пасты. Проверка окклюзии в статике и динамике — обязательно.
Формирование контактных пунктов
Для стабильных контактов применяйте анатомические матрицы и клинья соответствующей толщины. Сначала формируйте дистальную стенку, затем мезиальную — так проще контролировать кривизну и «линию света». Засвечивайте через прозрачную матрицу, удерживая световод максимально близко и перпендикулярно.
Оптика оттенка A2 и эстетика
Оттенок A2 — «средняя хрома», подходящая большинству клинических случаев. В фронтальной зоне для глубины и естественной люминесценции используйте принцип двойного слоя: базовый дентин (A2) и тонкий эмалевый покрывной слой тем же оттенком или более прозрачным композитом линейки. При выраженной дисколорации — опакер/маскирующий лайнер под базовый слой.
/* IMG_PLACEHOLDER: finishing-polishing (наборы финиша/полировки и микрогладкость) */?>Полимеризация: контроль качества
- Проверка лампы. Регулярная валидация мощности и целостности световода; загрязнение резко снижает доступную энергию на слое.
- Геометрия засветки. Минимальное расстояние, перпендикулярный угол к поверхности; в труднодоступных зонах — ступенчатая экспозиция.
- Soft-start. Мягкий старт с последующей полной экспозицией допустим для снижения пиковых усадочных напряжений при больших объёмах.
Финишная обработка и долговечность
Устойчивый глянец достигается при последовательной обработке: формирующие финиры (мелкозернистые), диски разной грануляции для аппроксимаций, затем полировочные системы и пасты. В пришеечной зоне для повышения микрогладкости уместна герметизация жидким композитом/сайлантом. Корректируйте окклюзию, уделяя внимание «высоким» буграм и контакту на рабочих склонах — это снижает риск сколов и микротрещин.
/* IMG_PLACEHOLDER: occlusion-check (проверка окклюзии и контактных зон) */?>Ограничения и предосторожности
- Не работайте на влажном или загрязнённом субстрате — нарушение изоляции критически снижает прочность и цветостабильность.
- Вблизи пульпы используйте биосовместимую подложку и герметизирующие материалы.
- При широкой окклюзионной нагрузке строго соблюдайте послойную технику и анатомическое моделирование.
Организация рабочего процесса и хранение
Храните шприц при комнатной температуре вдали от источников света. Держите колпачок закрытым до внесения материала, контролируйте чистоту насадок и инструментов. Для минимизации перекрёстной контаминации применяйте одноразовые микробраши/кисти. Фиксируйте в карте пациента оттенок A2, использованные подложки и параметры полимеризации — это ускорит контроль и ремонт при необходимости.
Комплектность, экономичность и workflow
Комплектация: шприц 4 г, оттенок A2. Форм-фактор удобен для точной дозировки и послойного внесения без перерасхода. Стабильная консистенция снижает время на корректировки и полировку, оптимизируя длительность визита без компромисса по качеству и эстетике.
/* IMG_PLACEHOLDER: radiopacity (рентген-снимок с оценкой краевой адаптации) */?>Практические советы
- Примерьте матрицу и клин до внесения композита; коронально-апикальная адаптация матрицы — залог плотного контакта.
- Контакты формируйте малыми объёмами с прицельной засветкой через прозрачную матрицу; избегайте перегрева тканей длительной непрерывной экспозицией.
- Для «невидимого» эмалевого края применяйте тонкий покрывной слой и градиентную полировку в направлении эмали.
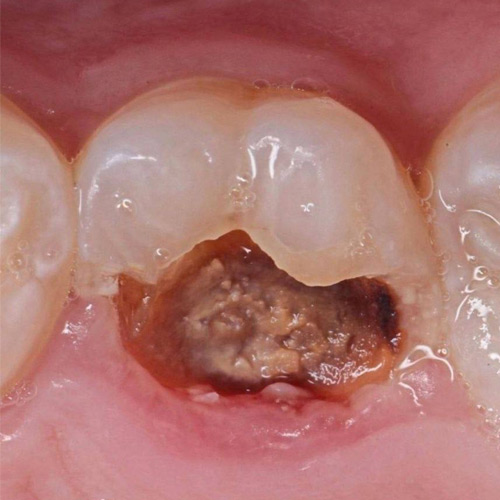
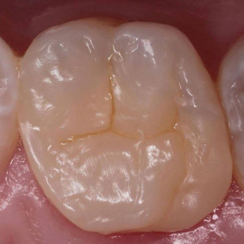
Клинический результат: до и после


Итог. DenFil A2 (Vericom) — надёжный универсальный композит для ежедневных задач терапевтической стоматологии: предсказуемая моделируемость, сбалансированная оптика и удобный клинический workflow. При корректной адгезии, послойном внесении и выверенной полировке материал обеспечивает долговечный эстетический результат с экономией chair-time.

